AGD logo2020

Gordon J. Christensen - Practical Clinical Courses® Nationally Approved PACE Program Provider for FAGD/MAGD credit.  Approval does not imply acceptance by any regulatory authority or AGD endorsement.  6/1/24 to 5/31/27.  Provider ID# 208521

CERP logo

Gordon J. Christensen - Practical Clinical Courses® is an ADA CERP recognized provider.  ADA CERP is a service of the American Dental Association to assist dental professionals in identifying quality providers of continuing dental education.  ADA CERP does not approve or endorse individual courses or instructors, nor does it imply acceptance of credit hours by boards of dentistry.

Onlays vs. Crowns

Product Details

Gordon J. Christensen, DDS, MSD, PhD

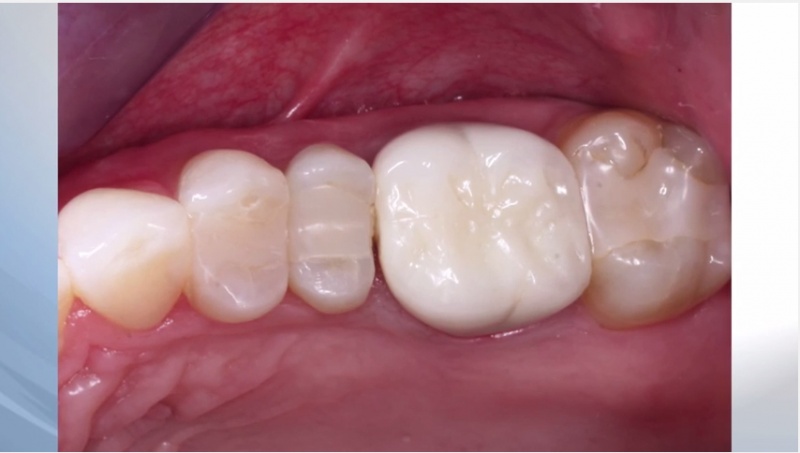
What part of a posterior tooth is usually the most destroyed by caries? Of course, the MOD portion. What part do you cut away for a crown? The facial and lingual portion. Does this make any sense? Let’s do onlays that leave the facial and lingual tooth structure intact!  The materials for tooth-colored onlays are now EXCELLENT! Lithium disilicate (IPS e.max) and others now dominate the onlay concept. These are now well-proven, strong, and unbelievably esthetic materials. They can be easier to accomplish than crowns and their esthetic qualities can last LONGER than crowns. Large class II resins are NOT lasting long, but onlays do last a long time, and third parties will now share on costs!

The following topics are included in this presentation:

  • Making onlay tooth preparations easy and predictable
  • Supragingival vs. subgingival margins
  • Obtaining optimum retention for onlays
  • Bases and liners
  • Laboratory-made or in-office CAD/CAM?
  • Desensitizing tooth preparations
  • Cementation and finishing onlays
  • Repair and follow-up for onlays
  • Practice management concepts—why a patient should want onlays

The live demonstrations of onlays in this presentation will make you want to do more of them.

Closed Captioning available, streaming version

Table of Contents

  • What Are the Characteristics of Inlays, Onlays and Crowns?
  • Why Crowns Are More Commonly Placed Than Onlays
  • Laboratory Made Onlays
  • In-Office Milled Onlays
  • Patient Introduction
  • Tooth Preparation
  • Clinical: Tooth Preparations
  • Liners and Bases
  • Clinical: Liners and Bases
  • Soft-Tissue Management
  • Clinical: Soft-Tissue Management
  • Impressions - Conventional and Scanned
  • Clinical: Impressions - Conventional and Scanned
  • Provisional Restoration Materials
  • Cements for Provisional Restorations
  • Clinical: Provisional Restoration
  • Materials for Onlays
  • Strength of Onlays
  • Three Examples of Laboratory Made Onlays
  • Cements for Onlays
  • Cementing Lithium Disilicate Onlays/Inlays
  • Cementing Zirconia Onlays/Inlays
  • Cementing Resin Nano Ceramic Onlays/Inlays
  • Acid Etching of Enamel
  • Tooth Preparation,Disinfection, and Desensitization
  • Bonding Agents for Onlays
  • Seating Onlay Procedure
  • Clinical: Prepare Zirconia for Cementation
  • Occlusal Considerations
  • Long-Term Maintenance and Repair
  • Additional Educational Resources
  • Conclusion
Video Length: 75 minutes

Item #: V1572

CE Credits: 2

Select Option Below

Quantity