Complex Oral Rehabilitation
Product Details
Gordon J. Christensen, DDS, MSD, PhD
The clinical examples in this video use PFM restorations. Valuable clinical techniques pertaining to restoring an entire arch all at once are shown.
This video expires August 10, 2026
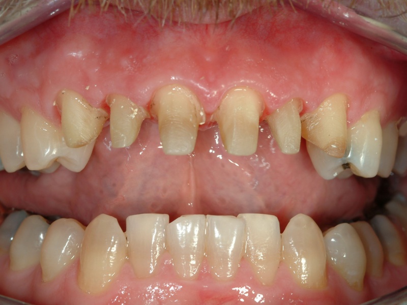
Most dentists accomplish at least some complex fixed prosthodontic cases, but many practitioners have not had an overall rehabilitation course. There are numerous techniques and sequences to rehabilitate debilitated patients. Some procedures are time-consuming, difficult and impractical; while others are relatively simple, logical and effective. Observe Gordon treating a complex rehabilitative case from start to finish, including complete diagnostic and treatment planning procedures, tooth build-ups, posts & cores, tooth preparations, interocclusal records, provisional restorations, dentist and lab interaction, seating, and follow-up appointments.
- What is Oral Rehabilitation?
- Diagnostic Requirements
- Exploratory Appointment
- Factors Influencing the Sequence of Treatment
- Optimum Patient-Oriented Treatment Planning
- Pre-Restorative Therapy
- Tooth Preparation Appointment
- Instruments
- Initial Tooth Preparation
- Tissue Management
- Placement of Fillers, Build-Ups, and Posts & Cores
- Refinement of Tooth Preparations
- Interocclusal Records
- Placement of Second Cord
- Impression Trays & Materials
- Removal of Second Cord
- Making a Full-Arch Impression
- Provisional Restorations
- Articulators
- Patient Instructions
- Evaluating, Adjusting, and Seating Restorations
- Evaluation of Individual Restoration Fit in the Mouth
- Contact Areas Evaluation
- Occlusion Evaluation
- Color Evaluation
- Cementing Restorations
- Occlusal Equilibration
- Postoperative Instructions for Patient
- Occlusal Touch-Up at 6 Weeks
- Conclusion
Limited DVD Stock Available








