Oral Surgery in General Practice
Product Details
Instructors: Karl R. Koerner, DDS, MS & Gordon J. Christensen, DDS, MSD, PhD
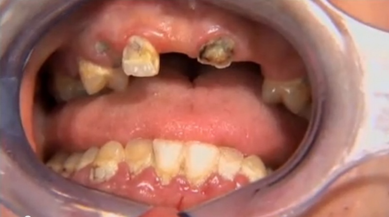
You and your patients will benefit from this practical video! Almost every dentist does some oral surgery, but very few have had significant education in surgical procedures. Karl and Gordon have made a practical, easily understood, step-by-step live video showing necessary concepts, techniques, and instruments needed for oral surgery in your practice. Frequently needed techniques are emphasized, including use of luxators, inter-radicular bone removal, mesial and distal troughing, sectioning roots, and buccal bone removal. Receive many tips on how to make routine surgery faster, easier, and more enjoyable.
Closed Captioning available, streaming version
Table of Contents
- Absolutes vs Variables
- Be Aware of Time
- Expediting Oral Surgery
- Luxators
- Intra-radicular Bone Removal
- Mesial and/or Distal Troughing
- Sectioning 1st and 2nd Molars
- Buccal Bone Removal on Upper 3rd Molars
- Patient Surgery
- Potential Complications
- Conclusion








