Simple, Inexpensive Implant Placement – Guide or No Guide?
Product Details
Gordon J. Christensen, DDS, MSD, PhD
Do you need guided placement for all root-form implants? The answer is yes and no!
Implant placement for healthy people who have an adequate amount of bone usually does not require a surgical guide. Most experienced dentists find single implant placement between properly aligned teeth is relatively easy. However, those dentists who are just learning to place implants usually find that surgical guides are useful even with simple cases. Often, placement of multiple implants can be easier with guides. Some guides are complex to make, expensive, and take time to learn – costing up to half as much as the implant placement. This video demonstrates current state-of-the-art implant placement using simple, inexpensive surgical guides and comparing this technique with placement without a guide. Viewing this presentation will make implant placement easier for both beginners and those competent in placing implants.
Closed Captioning available, streaming version
Table of Contents
- State of Implant Dentistry
- Educating Patients About Implants
- Diagnosis and Treatment Planning
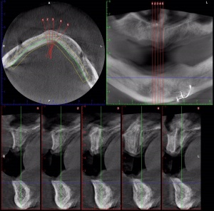
- Radiographs for Implants
- Guided Implant Placement
- Steps in Making a Surgical Guide
- Patient Introduction
- Surgical Guide for Right Maxillary Lateral Inciscor
- Tissue Punches and Various Drills
- Placement of Implant Using Guided Technique
- Implant Materials for Freehand Technique
- Surgical Flap vs No Flap
- Surgical Flap Procedure
- Cover Screw, Healing Abutment, or Final Abutment?
- Advantages and Disadvantages of Guided Surgical Implant Placement
- Advantages and Disadvantages of Freehand Implant Placement
- Related Presentations
- Conclusion









