Ceramic Veneers, State-of-the-Art
Product Details
Gordon J. Christensen, DDS, PhD, MSD
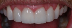
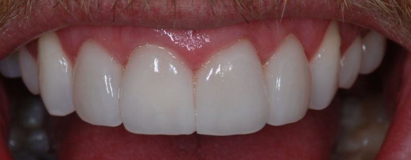
Ceramic veneers have changed radically in the past few years! Lithium disilicate and other ceramics are now dominating the ceramic veneer scene. Are you up to date on the changes? Do you want to make these most esthetic of all restorations a significant part of your practice? This video will do that!
The following topics are included in this presentation. Each will be emphasized by showing the techniques on live patients, identifying the best products for each step in the procedure, and suggesting methods to stimulate patients to want these beautiful restorations.
- Educating patients about veneers
- Selecting the best materials for the procedures
- Educating staff to motivate patients toward accepting veneers
- The best minimal and conventional tooth preparations
- Bonding to enamel and dentin most adequately
- Desensitizing tooth preparations
- The best cements
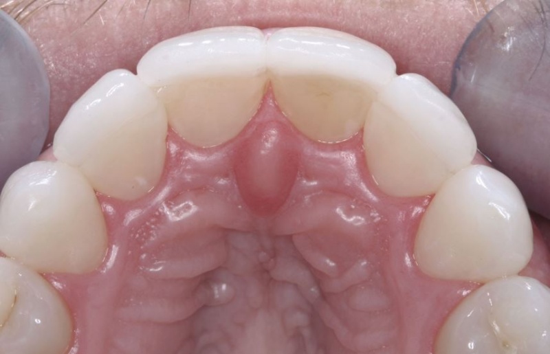
- Placing and finishing veneers
- Repair and maintenance of veneer restorations
Ceramic veneers can be a major and highly gratifying part of your practice after viewing this video.
Closed Captioning available
Table of Contents
- Indications for Veneers
- Contraindications for Veneers
- Veneers vs. Crowns
- Comparing Materials
- Tooth Preparations
- Bonding Veneers to Enamel vs. Bonding to Dentin
- Indications for "No-Prep" Veneers
- Instruments for Tooth Preparation
- Tissue Management
- Clinical: Anesthetic Delivery
- Clinical: Color Selection and Photo
- Pre-Preparation Impression
- Impressions
- Provisional Restoration Materials
- Clinical: Provisional Restorations
- Clinical: Soft-Tissue Management and Tooth Preparations
- Clinical: Cementing Provisional Restorations
- Clinical: Removing Provisional Restorations (A Few Weeks Later)
- Bonding Veneers
- Veneer Cements
- Cementing Ceramic Veneers to Tooth Structure
- Finishing Instruments
- Clinical: Cementing Veneers
- Clinical: Finishing Veneers
- Longevity Expectations
- Fees for Veneers
- Additional Educational Resources
- Conclusion














