Bruxism - Prevention and Treatment
Product Details
Gordon J. Christensen, DDS, MSD, PhD and Jeff Wyscarver, RPSGT
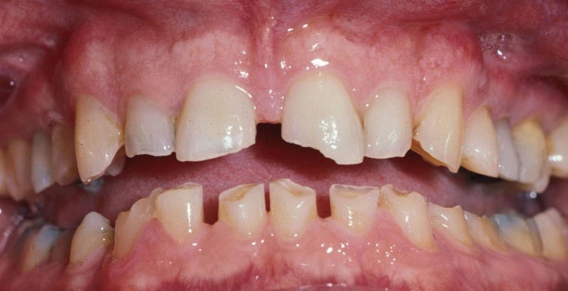
Is there a more frustrating situation than when you observe patients destroying their dentitions without any knowledge about the seriousness of the condition? This video includes Gordon’s clinical observations, techniques, and experiences over several decades of preventing and treating bruxism and clenching. Yes! It is possible to reduce or sometimes eliminate tooth destruction with proper techniques.
This video describes early detection of these conditions, proven preventive techniques including adequate occlusal splints, simple and complex rehabilitation of dentitions that are being broken down by bruxism and clenching, including materials and techniques. Viewing this presentation will increase your knowledge; serve your patients better; and provide a new, exciting, and interesting revenue source for your practice.
Closed Captioning available, streaming version
Table of Contents
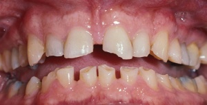
- What is Grinding Bruxism?
- What is Clenching Bruxism?
- Prevalence of Grinding and Clenching Bruxism
- Nocturnal and Awake Bruxism
- Bruxism in the Primary and Mixed Dentitions
- Measuring Grinding and Clenching Bruxism
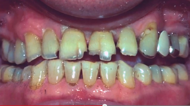
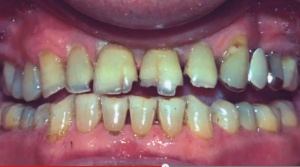
- Influence of Bruxism on Restorative Treatment
- Influence of Bruxism on Removable Prostheses
- Influence of Bruxism on Implant Supported Prostheses
- Influence of Bruxism on the Periodontium
- Prevention of Bruxism
- Treatment of Early and Moderate Bruxism
- Occlusal Splints
- Occlusal Equilibration
- Treatment of Advanced Bruxism
- Treatment of Advanced Clenching
- Postoperative Preventive Treatment
This title is also available in our Occlusion Discount Package









